
成長期の時期に矯正治療を行うことは、永久歯列の不正咬合の原因因子を除去することにあります。
具体的には上下のあごの成長をコントロールしながら(顎矯正治療)、永久歯の萌出スペースを確保し永久歯の適正な萌出時期を管理しながら、発音や嚥下の際に用いられる舌や口唇の口腔筋機能を正常化すること(口腔筋機能訓練)にあります。これによりスムーズに乳歯から永久歯への交換を促し、正常な永久歯列完成に及ぼす悪影響を可能な限り軽減することができます。
これはいわば、永久歯が正常に萌出できるためのあごの土台作りともいえるでしょう。


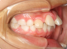
上顎前突とは、上の前歯が前方へ強く傾いている、または上のあごが下のあごより過剰に前方へ出ている状態のことで、上下の前歯の位置が前後的に大きくずれているのが特徴です。
前歯が突出しているめ口が閉じにくく、口を閉じようとしてもいつの間にか開いてしまいます。このため口の中が乾燥し、むし歯や歯周病の危険性が高まります。
治療方法としては、上のあごの成長抑制、奥歯の後方移動に伴う前歯の後方移動があげられます。
9歳男子
上の前歯が出ており、口が閉じづらい事を気にして来院されました。
上あごが突出しているため、上あごの前方成長を抑える必要があります。ヘッドギアーを夜間の寝る時間に使用して奥歯を後方へ移動します。さらに奥歯にできた隙間を利用して、ブラケットを使いながら前歯を後方へ移動します。

【治療期間】
装置装着期間1年半。
その後永久歯列完成まで成長経過観察を行いました。
※治療上のリスクとしてカリエス、⻭⾁炎、⻭周炎、⻭⾁退縮、⻭根吸収、顎関節症、 骨隆起の増大等があります。 また、治療には個人差がありますのであくまでご参考とお考え下さい。
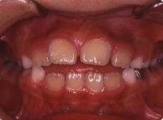
9歳女子
上下の前歯のギャップが大きい事と、下の前歯が上あごの歯肉に当たって痛む事を気にして来院されました。
下あごの成長が不足しているため、下あごが後方に位置しています。相対的に上顎前突の状態にあります。
下あごを前方へ成長させる装置を使って咬合状態を改善します。

【治療期間】
装置装着期間2年。
その後永久歯列完成まで成長経過観察を行いました。
※治療上のリスクとしてカリエス、⻭⾁炎、⻭周炎、⻭⾁退縮、⻭根吸収、顎関節症、 骨隆起の増大等があります。 また、治療には個人差がありますのであくまでご参考とお考え下さい。

反対咬合(はんたいこうごう)は下の前歯が上の前歯より前方にある咬み合わせのことです。成長期に治療することで、上顎を前方へ移動させたり、下あごの成長を抑えることができます。
8歳女子
咬み合わせが反対である事が気になり来院されました。
口腔内に装置(リンガルアーチ)を装着し、フェイシャルマスクで上あごを前方へ牽引します。

【治療期間】
装置装着期間1年。
その後成長経過観察を行いました。
※治療上のリスクとしてカリエス、⻭⾁炎、⻭周炎、⻭⾁退縮、⻭根吸収、顎関節症、 骨隆起の増大等があります。 また、治療には個人差がありますのであくまでご参考とお考え下さい。

発音や嚥下時に舌が突出する癖をもつお子様に見られます。この癖により前歯が前方へ押し出されてしまい、前歯で咬めない状態です。装置で強制的に舌が出ないようにし、トレーニング・マニュアルを用いて正しい発音や飲みこみ方を覚えてもらいます。
8歳男子
前歯で食べ物が咬み切れない事と、口を開いている事が多い事を気にして来院されました。
前歯を舌で押しているために前歯が咬み合いません。装置を装着し、正しい舌の動きのトレーニングを行います。

【治療期間】
装置装着期間2年。
その後舌のゴレーニングを行いながら成長経過観察を行いました。
※治療上のリスクとしてカリエス、⻭⾁炎、⻭周炎、⻭⾁退縮、⻭根吸収、顎関節症、 骨隆起の増大等があります。 また、治療には個人差がありますのであくまでご参考とお考え下さい。

| 日 | 月 | 火 | 水 | 木 | 金 | 土 |
|---|---|---|---|---|---|---|
| 1 | 2 | 3 | 4 | 5 | 6 | 7 |
| 8 | 9 | 10 | 11 | 12 | 13 | 14 |
| 15 | 16 | 17 | 18 | 19 | 20 | 21 |
| 22 | 23 | 24 | 25 | 26 | 27 | 28 |
| 29 | 30 | 31 |
★診療終了時間変更日★
・3月30日 18:30まで
| 日 | 月 | 火 | 水 | 木 | 金 | 土 |
|---|---|---|---|---|---|---|
| 1 | 2 | 3 | 4 | |||
| 5 | 6 | 7 | 8 | 9 | 10 | 11 |
| 12 | 13 | 14 | 15 | 16 | 17 | 18 |
| 19 | 20 | 21 | 22 | 23 | 24 | 25 |
| 26 | 27 | 28 | 29 | 30 |
★診療終了時間変更日★
・4月27日 17:30まで
| 日 | 月 | 火 | 水 | 木 | 金 | 土 |
|---|---|---|---|---|---|---|
| 1 | 2 | |||||
| 3 | 4 | 5 | 6 | 7 | 8 | 9 |
| 10 | 11 | 12 | 13 | 14 | 15 | 16 |
| 17 | 18 | 19 | 20 | 21 | 22 | 23 |
| 24 | 25 | 26 | 27 | 28 | 29 | 30 |
| 31 |
★診療終了時間変更日★
・5月25日 17:30まで
| 日 | 月 | 火 | 水 | 木 | 金 | 土 |
|---|---|---|---|---|---|---|
| 1 | 2 | 3 | 4 | 5 | 6 | |
| 7 | 8 | 9 | 10 | 11 | 12 | 13 |
| 14 | 15 | 16 | 17 | 18 | 19 | 20 |
| 21 | 22 | 23 | 24 | 25 | 26 | 27 |
| 28 | 29 | 30 |
★診療終了時間変更日★
・6月29日 17:30まで
| 日 | 月 | 火 | 水 | 木 | 金 | 土 |
|---|---|---|---|---|---|---|
| 1 | 2 | 3 | 4 | |||
| 5 | 6 | 7 | 8 | 9 | 10 | 11 |
| 12 | 13 | 14 | 15 | 16 | 17 | 18 |
| 19 | 20 | 21 | 22 | 23 | 24 | 25 |
| 26 | 27 | 28 | 29 | 30 | 31 |
★診療終了時間変更日★
・7月27日 17:30まで
Copyright (C) Ando Orthodontic Clinic. All Rights Reserved.